下顎隆起(骨隆起)とは?原因や治療法を解説
2025/11/20
こんにちは、新宿(大久保駅)の歯医者、橋本歯科医院です。
下顎隆起はほとんどの場合、健康上の大きな問題を引き起こすものではなく、すぐに治療を必要とするわけでもありません。
ただし、症状の程度や大きさによっては、食事や会話に影響が出る場合があります。
今回は、下顎隆起の基本的な特徴や症状、原因、そして治療法について解説します。
下顎隆起とは
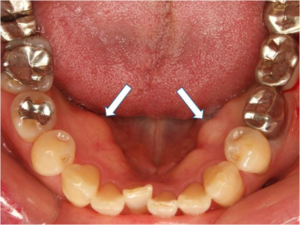
下顎隆起とは、下顎骨の小臼歯付近の骨表面が限局的に盛り上がり、デコボコとした硬いこぶのようになっている状態です。
骨が過剰に発育する「外骨症」の一種であり、非腫瘍性の骨増殖であるため、がんや悪性疾患のような心配はありません。
痛みや腫れといった症状は伴わないことが多いですが、デコボコが歯磨きや入れ歯の装着、発音などを妨げることがあります。
また、下あごにできる骨隆起を下顎隆起を呼ぶのに対し、上あごにできる骨隆起を口蓋隆起、歯を支えている歯槽骨にできる骨隆起を歯槽隆起と呼びます。
できる場所により名前は変わりますが、どれも健康を害するようなものではなく、生活に支障がない場合には治療の必要はありません。
下顎隆起の症状
下顎隆起は、男性よりも女性に多く見られる傾向があります。
特に隆起が目立つようになるのは40歳以降といわれており、長年にわたる咬合圧や生活習慣が影響していると考えられます。
症状の進行はゆるやかで、痛みや違和感といった感覚の異常が現れることは少なく、歯科検診や治療の際に偶然発見されることが多いです。
ただし、隆起の表面はほかの部位よりも粘膜が薄くなっているため、大きくなると、歯ブラシや硬い食べ物が当たり、痛みや炎症、口内炎の発症につながることもあります。
また、舌の動きを妨げてしまって発音しにくくなったり、食べ物の咀嚼や飲み込みに影響が出たりすることもあります。
下顎隆起の原因
咬合圧による刺激
咬合圧は、下顎隆起の代表的な要因とされています。
特に、強いかみ癖がある方や歯ぎしり、食いしばりの習慣がある方は、下顎骨に持続的な圧力がかかります。
この過剰な力から歯を守ろうとする自己防衛機能が働き、骨が厚くなって隆起が形成されると考えられています。
遺伝
家族の中に下顎隆起がある方がいる場合、その親族にも同様の骨の隆起が生じるケースが少なくありません。
これは、骨の硬さや咬合圧の傾向など、体質的な特徴が遺伝するためだと考えられています。
外傷
下顎隆起は、外部からの強い衝撃や口腔内の装置による摩擦など、外傷的刺激によっても形成されることがあります。
例えば、入れ歯や矯正装置が口の中の同じ部分に繰り返し当たることで、その刺激に骨が反応し、過剰に成長して隆起が生じる場合があります。
下顎隆起の注意点
下顎隆起は良性の骨の増殖であり、必ずしも治療を必要とするものではありません。
しかし、いくつかの状況では治療を検討する必要があります。
まず、発音に支障が出る場合です。
骨隆起が舌の動きを妨げることで、話しづらさを感じる場合や発音障害が生じている場合には、除去手術が検討されます。
次に、入れ歯を使用している方で骨隆起が入れ歯の装着を妨げる場合です。
骨隆起が大きくなると入れ歯がしっかり装着できず、咀嚼機能が低下するため、手術で骨隆起を削ることがあります。
また、骨隆起の表面が歯ブラシや食事の刺激で頻繁に傷つき、痛みや炎症が続くケースも、除去の検討対象となります。
そのほか、審美的な観点から処置を行うこともあります。
下顎隆起の検査方法
下顎隆起は、歯科医師による視診と触診で診断を行います。
口を開けて下顎の内側を観察した際に、硬いふくらみが左右両方、もしくは片側だけにある場合、下顎隆起が疑われます。
触診では、指で軽く押して動かない硬い骨の隆起かどうかを確認します。
こういった視診と触診だけでも下顎隆起の有無を診断することは可能ですが、より詳細な情報が必要な場合には画像検査を行います。
具体的な方法として、デンタルX線(レントゲン)では、隆起の骨密度や境界の明瞭さ、左右差を確認します。
特に入れ歯治療やインプラント治療を予定している場合は、治療計画に役立てるためにこれらの検査が欠かせません。
また、まれに下顎隆起と似た形態の腫瘍や嚢胞である可能性があるため、急激な増大や痛み、出血があれば、精密検査や組織検査(生検)が必要となることもあります。
下顎隆起の治療法
経過観察
下顎隆起は多くの場合、治療の必要はありません。
痛みや機能障害がなく、見た目にも大きな問題がなければ、定期的な歯科検診で状態を観察していくことになります。
ただし、急激な変化や痛みなどがあれば、速やかに歯科医院を受診することが大切です。
入れ歯の調整
骨隆起が大きいと、入れ歯がしっかりとフィットせず安定しないため、咀嚼効率が落ちたり、痛みを感じたりすることがあります。
こうした場合、外科的に骨隆起を除去する前に、まずは入れ歯の形状を調整して対応するのが一般的です。
入れ歯の裏面を削るなどの調整を行い、骨隆起と入れ歯の接触を和らげ、快適な装着感を目指します。
ただし、骨隆起が非常に大きい場合や調整で十分な適合が得られない場合には、外科手術が必要になることがあります。
外科手術
下顎隆起が大きくなり、食事や会話、入れ歯の装着などに支障が生じている場合には、外科的に骨隆起を除去する手術が検討されます。
手術は通常、局所麻酔下で行われ、口腔内から隆起した骨を削り取る方法が取られます。
手術時間は比較的短く、日帰りで可能なことがほとんどです。
術後は痛みや腫れが数日続くことがありますが、痛み止めや抗生物質により徐々に落ち着き、1週間ほどで支障なく日常生活を過ごせるようになります。
まとめ
下顎隆起は下顎骨の内側、特に小臼歯部の舌側にできる良性の骨の隆起です。
通常は痛みや違和感を伴わず、知らずに大きくなります。
症状がなく良性のため、基本的には経過観察で問題ありませんが、大きくなりすぎると入れ歯の装着や発音に支障をきたすことがあるため、そのような問題が生じた場合は入れ歯の調整や外科的除去が検討されます。
医療法人社団橋本会 橋本歯科医院:https://shiny-smile.com/
〒169-0074 東京都新宿区北新宿1-4-8
電話:03-3368-1809
交通アクセス
電車でお越しの方:
JR新宿駅 西口徒歩8分
JR大久保駅 徒歩2分
JR新大久保駅 徒歩5分
西武線西新宿駅、大江戸線新宿西口駅 各駅より 徒歩5分
お車でお越しの方:
駐車場が2台分ございます
